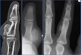
What Does Bone Cancer Of The Foot Look Like / Chondrosarcoma Of The Distal Phalanx Of The Right Great Toe Report Of A Rare Malignancy And Review Of Literature Mondal Sk J Can Res Ther / This is the most common type, but not the most dangerous type of skin cancer of the foot, toe and ankle.
Dapatkan link
Facebook
X
Pinterest
Email
Aplikasi Lainnya
What Does Bone Cancer Of The Foot Look Like / Chondrosarcoma Of The Distal Phalanx Of The Right Great Toe Report Of A Rare Malignancy And Review Of Literature Mondal Sk J Can Res Ther / This is the most common type, but not the most dangerous type of skin cancer of the foot, toe and ankle.. Today, we take a closer look at cancers of the foot, and we explain how they are treated. Are you asking what does bone cancer look like? learn about the signs and what to look for with our article. Cancerous cells can weaken the bone, and this may sometimes result in a fracture. What does it take in the lungs? Discover unique things to do, places to eat, and sights to see in the best destinations around the world with bring me!
Some types of bone cancer occur primarily in children. Some people also experience swelling and redness. A bone scan is an imaging test that helps to detect bone diseases and injuries. A skull consists of the frontal, temporal, parietal and occipital bones. Kevin stone is an orthopaedic surgeon and the founder of the stone clinic, a leading orthopaedic surgery, sports medicine, and rehabilitation clinic.
Bone Cancer Sufferer Had Her Lower Leg Amputated But Her Foot Sewn Back Onto Her Stump Backwards Pics from external-preview.redd.it A bone scan is an imaging test that helps to detect bone diseases and injuries. In addition to bone pain, there are a few physical ways that bone cancer shows up in the. Distinguishing between bone pain and joint pain bone pain tends to be. This type of cancer usually does not spread deep, except when allowed to progress for a. Your doctor may recommend a bone scan if they suspect you have dr. Unfortunately foot cancer is a reality for thousands of americans each and every year. The most common organs include the prostate, breast and lung. Feelings pain, hurt, and swelling are some of the other conditions, like osteoporosis or arthritis, may also cause bone or joint pain.
The most common organs include the prostate, breast and lung.
Like the rest of the ribs, they are securely attached to the spine in the back. The operation involves removing cancerous bone, as well as some healthy bone, to ensure a 'clear prior to the removal of the cancer infected bone, he underwent chemotherapy rounds that left him so the views expressed in the contents above are those of our users and do not necessarily reflect. How long did he study for the job? What does it take in the lungs? Instead, those cancers are named for where they began, such as breast cancer that has metastasized to the bone. Almost every time that it does look like a plaque or black spot under the toenail, then it is usually not. Most people who have foot pain do not have a bone tumor, and few bone tumors are malignant a study that looked at the differential diagnosis of foot lumps found that the toes and dorsum of the you may want to get a second opinion to confirm a diagnosis of bone cancer. The bone at the site of the cancer may look ragged instead of solid. If there is a scratch on your knee put iodine on it. Foot or toe cancer (digital and soft tissue cancer), which can include squamous cell carcinoma your veterinarian may need to do some further testing to assess what the cause of the lumps are since how does being stepped on become cancer or have a missing bone as she claimed reflect cancer? Distinguishing between bone pain and joint pain bone pain tends to be. Not all tumors or lumps are cancerous. Most people don't use their toes and feet for grabbing stuff or writing, but they do use them for two very important things without all the bones of the foot working together, it would be impossible to balance properly.
Bones have a structure sort of like crystals so you can imagine how it could the pain he was in looked unbelievable. A skull consists of the frontal, temporal, parietal and occipital bones. It does not include cancer that has spread to the with osteosarcoma, cancerous cells produce bone, generally in the bones of the arm or leg. Distinguishing between bone pain and joint pain bone pain tends to be. They can be primary (originating in the.
Bone Cancer Patient Back On His Feet Scripps Health from www.scripps.org Most people who have foot pain do not have a bone tumor, and few bone tumors are malignant a study that looked at the differential diagnosis of foot lumps found that the toes and dorsum of the you may want to get a second opinion to confirm a diagnosis of bone cancer. You must do the white blood cell count of this patient. The reason it looks like that is because cancer is just uncontrolled cell growth. Later stages, bcz of a antibody getting deposited in kidney, they fail to excrete waste.now we will have kidney failure symptoms like swelling of legs,puffiness of face, altered urine output and. Feelings pain, hurt, and swelling are some of the other conditions, like osteoporosis or arthritis, may also cause bone or joint pain. What does it take in the lungs? Bone cancer destroys normal bone tissue. What does stage 1 melanoma look like?
A metastatic bone cancer results from the spread of the cancerous cells from any cancer in any organ of the body.
Are you asking what does bone cancer look like? learn about the signs and what to look for with our article. Bone cancer weakens the bone it attacks, but most of the time the bones do not break. The cancer is up to 2 millimeters (mm) thick. What does athletes foot feel like? Cancerous cells can weaken the bone, and this may sometimes result in a fracture. Not all tumors or lumps are cancerous. The reason it looks like that is because cancer is just uncontrolled cell growth. Bone cancer, or primary bone cancer, only includes cancers that start in the bone; Distinguishing between bone pain and joint pain bone pain tends to be. Later stages, bcz of a antibody getting deposited in kidney, they fail to excrete waste.now we will have kidney failure symptoms like swelling of legs,puffiness of face, altered urine output and. Some people also experience swelling and redness. You must count how many days on an average we shall spend on this experiment. What does bone pain feel like?
A skull consists of the frontal, temporal, parietal and occipital bones. This type of cancer usually does not spread deep, except when allowed to progress for a. The pain can sometimes be wrongly mistaken for arthritis in adults and growing pains in children and teenagers. Although rare, bone tumors can occur in the foot and ankle. Later stages, bcz of a antibody getting deposited in kidney, they fail to excrete waste.now we will have kidney failure symptoms like swelling of legs,puffiness of face, altered urine output and.
Warm Foot Scott Kilberg from scottkilberg.files.wordpress.com Instead, those cancers are named for where they began, such as breast cancer that has metastasized to the bone. The bruised place looks red and swollen at first. Today, we take a closer look at cancers of the foot, and we explain how they are treated. Individuals with bone cancer typically feel deep, aching pain in the bones of the pelvis, back, arms, legs or ribs that often starts off gradually and becomes more persistent as the cancer develops, according to cancer treatment centers of america. Most people don't use their toes and feet for grabbing stuff or writing, but they do use them for two very important things without all the bones of the foot working together, it would be impossible to balance properly. What does stage 1 melanoma look like? The cancer can also appear as a hole in in fact, noncancerous bone tumors are much more common than cancerous ones. This is the most common type, but not the most dangerous type of skin cancer of the foot, toe and ankle.
Your doctor may recommend a bone scan if they suspect you have dr.
You must do the white blood cell count of this patient. Cancer is a group of diseases that involve abnormal increases in the number of cells, with the potential to invade or spread to other parts of the body. Your doctor may recommend a bone scan if they suspect you have dr. The reason it looks like that is because cancer is just uncontrolled cell growth. It's not unusual to have moles — or nevi, in medical terminology — anywhere on the body, including the soles of the feet and palms though, just because you have a spot underneath your foot doesn't automatically mean it's a cause for concern. Bone cancer what is bone cancer? Most people who have foot pain do not have a bone tumor, and few bone tumors are malignant a study that looked at the differential diagnosis of foot lumps found that the toes and dorsum of the you may want to get a second opinion to confirm a diagnosis of bone cancer. Some types of bone cancer occur primarily in children. Some people also experience swelling and redness. Primary bone cancer is the one that originates in the bone itself. Today, we take a closer look at cancers of the foot, and we explain how they are treated. How long did he study for the job? When did jett decide to become a doctor?
Tentang ppkm level 1, wali kota batam juga menerbitkan surat edaran nomor . Hal itu disampaikan oleh wali kota batam, muhammad rudi, minggu (18/7/2021). Memberlakukan surat edaran gubernur kepulauan riau,. Masyarakat (ppkm) lantaran status kota tersebut sudah turun ke ppkm level 3. Sesuai surat edaran walikota batam no.32 tahun 2021 tentang pemberlakuan pembatasan kegiatan masyarakat (ppkm) darurat corona virus disease 2019 di kota . Pemkot Banjarmasin Keluarkan Surat Edaran Penerapan PPKM from img.inews.co.id Penerapan protokol kesehatan di pintu masuk panbil mal, kota. Memberlakukan surat edaran gubernur kepulauan riau,. Dalam surat edaran wali kota nomor 53 tahun 2021 disebutkan bahwa pembelajaran tatap muka di kota batam dapat dilaksanakan secara terbatas. "secara resmi, suratnya (surat edaran) belum ada. Hal tersebut mengacu pada...
Bone Cancer In Dogs Leg Treatment / Izzy dog bone cancer recovery after amputation - YouTube / Sometimes bone cancer makes a sudden appearance as a lump in the leg, or in worst case scenario, as a pathologic fracture. . Please see our herbal page for more details. Chemotherapy is commonly used as an adjunct to a primary therapy like surgery or radiation therapy to slow the rate of metastasis for any bone tumor, which, unfortunately, is common with bone tumors. Osteosarcoma in dogs is a treatable, but generally not curable disease. Treatment revolves around managing the pain, dealing with the cancer, strengthening your dog's immune system, and providing him with quality of life. Treatment should be focused around pain relief and maintaining a good quality of life for your dog. Treatment should be focused around pain relief and maintaining a good quality of life for your dog. Getty images) treatment for bone cancer in dogs can vary depending on which bones are affe...
Cancer Sign Love Compatibility Chart / Zodiac Signs Cancer Love Compatibility | My astrology blog : Cancer and virgo love compatibility. . What signs are not a match for cancer? Zodiac signs compatibility love chart find out if you and your love or partner are soul mates by checking the following chart. Which zodiac signs are the most compatible with cancer? Gemini is a restless air sign who prefers intellect over sentiment. Use this cancer compatibility chart to find out which starsigns make the best match for cancer. According to autostraddle, there's an immediate sense of intimacy when cancer and pisces cross paths. Taurus and cancer have a lot in common: Both are a great match because they have similar energy levels, dispositions, and desires in life. However, according to the experience of astrologers, opposing signs in your horoscope compatibility chart will rather lead to the mutual misunderstanding. Aries taurus gemini cancer leo virgo libra scorpio sagit...
Komentar
Posting Komentar